Menu
020 7255 2559 CONTACT US
BOOK NOW 020 7255 2559

Everybody wants a beautiful smile.

Whether it’s a smile makeover or invisible braces you need, what’s stopping you? Well, you could be worried veneers won’t look natural or last very long. Or how braces might look and feel. The truth is, not every dentist can do this kind of dentistry, and with something so important, you have to get it right. But this is what we do – day in and day out. We’re not happy unless you’re happy. And if you need veneers, we’ll guarantee them for a full 10 years!! See you very soon!

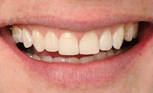
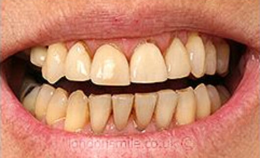
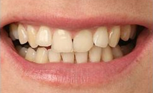
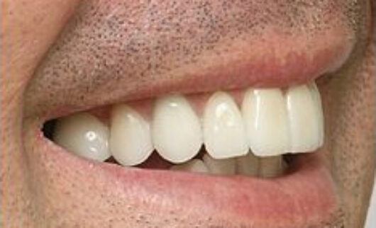
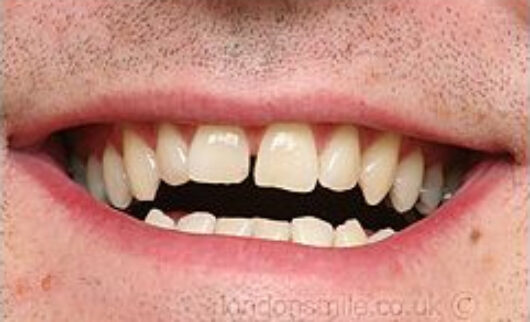
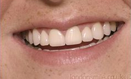
Smile of the Month
contact left white round shape1

What patients say

Always 5 star.The entire staff are all impeccable.The clinical standards superb.I’ve been a patient for 20 years and the standard have remained constant.Makes going to the dentist a pleasure ( well almost). 😵‍💫read more
PAULINE W
PAULINE W
13:55 03 Feb 26
I truly cannot recommend the London Smile Clinic enough. Everyone I encountered yesterday was absolutely wonderful, so kind and so understanding. Especial thanks are due to the absolutely lovely Delesta, Dr Pratik Sharma's treatment coordinator, who went over and above. She was so warm and lovely, and she managed to organise for me to have a second appointment that very afternoon with Dr Tim Bradstock-Smith for which I was extremely grateful, as I had travelled all the way from the East Midlands. Both Dr Sharma and Dr Bradstock-Smith are exceptionally kind and understanding, and between them they were able to get to the bottom of a complex problem that my home dentist and orthodonist had not properly understood. I cannot tell you how relieved I am to have seen them. I have suffered a lot of dental trauma and I felt heard and cared for in a way that I have never experienced before. I will be pursuing further treatment with The London Smile Clinic and I would not have any hesitation in recommending them to other nervous patients or patients with challenging or unusual conditions. Thank you so much to everyone I saw yesterday. I'm truly grateful for the outstanding levels of care and consideration I received.read more
Sarah Davison
Sarah Davison
13:02 22 Jan 26
I have been coming here for almost 20 years because of the superstar that is Kristelle! She is an incredible hygienist. Thorough, skilled & knowledgeable - she is an amazing professional and so personable. I always look forward to my cleans and honestly never want it to end!read more
T L
T L
14:06 16 Dec 25
Still Exceptional After 25 YearsI had my veneers done at The London Smile Clinic nearly 25 years ago by Dr Tim Bradstock-Smith, and I’m now back having them replaced - with the same dentist! That alone speaks volumes about the level of trust and satisfaction I’ve had over the years.What continues to impress me abot LSC is their investment in cutting-edge technology. The diagnostics they use now provide such a detailed view of your dental health, allowing for a treatment plan that’s not just about looks, but about long-term wellbeing. It’s thoughtful, precise and truly patient-centred care.The professionalism and excellence of the entire team is just as strong as it was all those years ago. There’s a genuine culture of kindness - right down to my original Dental Care Manager, Dawn! Everyone is welcoming and clearly proud to be part of a clinic that sets the bar for dental care.If you’re looking for world-class dentistry backed by years of consistency, innovation, and trust, I can’t recommend The London Smile Clinic highly enough.read more
Maria Hellyer
Maria Hellyer
13:09 24 Oct 25
Always utter professionalism from the staff at the London Smile Clinic. I've just completed a "full mouth restoration" - placing high quality porcelain veneers and crowns over badly worn-down teeth. Dr Bradstock-Smith ensured that underlying general dental issues had been addressed before using his expertise to fashion a great set of natural-looking teeth for a new smile. Attend the London Smile Clinic and you won't want to visit another dental practice again!read more
Kieran Long
Kieran Long
20:58 23 Oct 25
I cannot recommend Bonnie highly enough as a dental hygienist. I have been very anxious going to hygienists in the past and have had negative experiences. Bonnie put me at my ease, was kind and professional and I had a really positive and thorough assessment and treatment. Thank you!read more
Leigh Jain
Leigh Jain
16:31 08 Oct 25
I have been seeing hygienist Kristelle for several years and have total confidence in her. I have some sensitivity issues, but Kristelle manages to make her treatments totally comfortable. She is always thorough and meticulous in her care and advice and I prefer to make the journey into central London to see her, rather than see a hygienist locally.read more
Sheila Williams
Sheila Williams
13:21 24 Sep 25
Just had my annual hygenist and dental examination at London Smile. Always a good experience, and I love the new, comfortable, 360 degree x-ray machine. As always, I remain impressed by their attention to detail, clinical acumen, and sensible approach. I had all my teeth veneered, crowned and bridged here over 20 years ago, and the vast majority of those teeth are still going strong. I wouldn't go anywhere else.read more
Susan Young
Susan Young
17:53 16 Sep 25
Bonnie might be the friendliest, most professional and helpful dental professional I have ever been to see. The hygiene service was exactly what I needed and extra care was definitely provided to ensure proper maintenance routines. I will be coming back.read more
Thomas
Thomas
14:26 16 Sep 25
I am so happy to have found Dr. Tim Bradstock-Smith. He is calm and confident, I immediately felt like I was in good hands. I had veneers done on my upper teeth, and the whole process was completely stress-free. After a poor experience at another clinic, I was extremely nervous—but Dr. Bradstock-Smith listened to every concern and was very attentive. A big thank you to the whole team at this clinic.read more
Kateryna Kladkova
Kateryna Kladkova
21:16 07 Aug 25
I have been going here for many years and will always return and recommend the Smile Clinic. From the welcoming treatment coordinator’s to the friendly dental nurses and the specialists. They are an outstanding team.Dr. Pratik Sharma is an exceptional orthodontist who is a genius in working out how to achieve the best smile. I have been fortunate enough to have Anna Blazewska monitoring and executing my adjustments throughout my treatment. I have been in the best hands possible and their combined efforts have finally given me the smile I have wished for.The best part is that the appointments don’t feel like a chore as it’s a pleasure to see the team.I am very grateful to all at the Smile Clinic.read more
Joleen Shearing
Joleen Shearing
07:48 17 Jul 25
Bonnie is the best dental hygienist I’ve ever been to. Very thorough and super friendly! And most importantly, my teeth feel great after a visit with her.read more
Vanessa K
Vanessa K
16:15 09 May 25
This team is amazing and completely saved the day. Kind, helpful, supremely professional and clearly at the top of their game. I knocked out my perfect bridge six days before Christmas and they went out of their way to sort it out in one day, working overtime. Not only did Tim save the day, but they saved my Christmas!I’d already been asked many times who made my bridge 10 years ago - not that you’d have noticed, it was perfect. I don’t know why anyone would go anywhere else.Thank you all againAineread more
Áine O'Shaughnessy
Áine O'Shaughnessy
13:17 05 May 25
Cosmetic dentistry at it's best. I'm a nervous patient at the dentist; usually really nervous. Never at The London Smile Clinic. They have always looked after me with patience since my Cosmetic Dentistry many years ago. The bestread more
Sonia is genuinely, hands down, the best dentist I've seen. Plus, the Clinic has some tremendous gadgets there. Which, as they were 22 years ago when I first visited, keeps them ahead of any other dentistry practice ive come across. They do dentistry really well and make it as pleasant an experience as possible.They fixed my smile 22 years ago with veneers, and the first one only came off recently. All the more impressive as I am rather careless with my teeth at times and I am a tooth grinder when I sleep.Cant fault them - even if they are not exactly cheap - but well worth it, So 5 stars from me.read more
Colin Bryce
Colin Bryce
18:05 01 Apr 25
Lovely team , Dr Sharma is an absolute star , he is patient , very kind and always makes sure that I get all my questions answered . Saadia is the loveliest too. I would absolutely highly recommend this practice . I used to be scared of dentists , I now happily come because I know I will be looked after !read more
Malika G
Malika G
13:14 08 Mar 25
I had a fantastic experience at my routine check-up with Dr. Sonia! From the moment I walked in, she made me feel at ease with her bubbly and friendly personality. She was incredibly thorough, taking the time to explain each step of the process and ensuring I understood everything. Her attention to detail and comprehensive approach to my dental health really stood out. It’s clear she genuinely cares about her patients. I highly recommend Dr. Sonia to anyone looking for a knowledgeable and caring dentist. I’ll definitely be returning for future check-ups!The practice was great too! The staff were incredibly friendly and welcoming, making me feel comfortable from the moment I arrived. The practice itself is very modern, clean, and sleek, with a calming atmosphere.read more
Sanjay R
Sanjay R
09:39 28 Feb 25
The best decision I have ever made! The entire staff is professional and friendly. Thank you to the receptionist Delesta for the warm welcome and a special thanks to the Dr. Pratik Sharma and his assistant and Anna Blazewska for the passion they put into their work. I truly appreciate how they answered all my concerns, gave me valuable advice and most importantly took such great care of me throughout the entire treatment. I have never been this happy and proud of my beautiful smile 😃 Thank you so much again! ❤️read more
Nicoletta
Nicoletta
12:41 16 Jan 25
I couldn't recommend The London Smile Clinic MORE! The whole team are truly the kindest, most caring people and my entire experience has just been incredible. It's quite honestly been life-changing and it is all thanks to Tim and the incredible team. Words can't describe how grateful I am for all of them. The newfound confidence you've given me is something I'd never have expected and I can't thank you all enough read more
Georgie Gooch
Georgie Gooch
08:30 12 Jan 25
Dr Sharma and his team provided our teenage children with exceptional orthodontic care. He is among the best practitioners we have had the pleasure to work with and his impeccable professionalism and attention to detail produced beautiful results for our children. He was also incredibly kind and sensitive to their needs, making every effort to make them comfortable and secure. We always looked forward to the visits. Dr Zhang, Anna and Sadia carried forth his high standards and provided exceptional care to our family. We recommend the practice wholeheartedly.read more
Carne Ross
Carne Ross
15:49 03 Dec 24
Smile provide an excellent, friendly service in pleasant surroundings. I’ve just had my teeth cleaned and I believe this is not just a cosmetic benefit but also an investment in long term health. It is a shame that this is becoming a luxury few can afford.read more
Judith Corstjens
Judith Corstjens
07:52 21 Nov 24
We have had an impeccable experience with the London Smile Clinic. We had orthodontics for our teenage children and their care was delivered with professionalism, warmth and personal attention. Special thanks to Dee who always went out of her way to find appointments for us while we lived out of town, greeted us with warmth and kindness, shared useful information and has always displayed the utmost professionalism. We recommend the clinic without reservation.read more
Karmen Ross
Karmen Ross
21:23 09 Nov 24
I had a hygiene appointment today with Kristelle, and it was my first time seeing her. She was incredibly kind, professional, and possibly the gentlest hygienist I’ve ever met. The experience was really pleasant, and I’m already looking forward to my next visit. I received so many helpful tips on maintaining healthy teeth, and I’m very grateful!read more
S M
S M
21:22 09 Nov 24
Having had a deeply unpleasant root canal experience previously, I took the advice of a friend and today went to see Mariana at London Smile. What a difference! Mariana was kind, thoughtful and articulate and is clearly at the very top of her game. She pays great attention to every tiny detail and made sure to explain each and every stage to me as we went along as well as ensuring that I was comfortable and pain free at all times during what is an incredibly complex and skilled procedure. It was probably a third more in terms of cost than the place my dentist referred me to, but was worth every penny and made me realise how basic the last experience I had was. A small but nice touch from London Smile that didn’t go unnoticed was that no extra was added onto my bill for the antibiotics prescribed. I hope I don’t need more RC treatment but if I do I wouldn’t go anywhere else.read more
Lou Rota
Lou Rota
16:27 03 Oct 24
I've been a patient of The London Smile Clinic for the past 4 years and I can't speak highly enough about the exceptional care I'm receiving each time. The staff is always friendly and professional, making each visit as comfortable and stress free as possible. Everyone demonstrates an impressive level of expertise, they take time to explain everything to me and answer every question. Their commitment to excellence and patient satisfaction is truly commendable.read more
Karolina Przeniewska
Karolina Przeniewska
15:15 06 Sep 24
I’ve been a very satisfied patient of London Smile Clinic for 20 years now. The quality of their work is outstanding, but the most important reason I keep going back is their genuine care and understanding of me as a nervous patient. Everyone - Tim, Kristelle, Dawn, and the whole team - makes me feel welcome every time. Highly recommended.read more
Jeff Mochan
Jeff Mochan
12:30 11 Aug 24
I had my smile makeover in 2006, and its now 2024, and I am still absolutely thrilled with the work that Dr Tim Bradstock Smith did for me. My gums were in a mess, always bleeding, I had trigeminal nerve pain on both sides of my jaw. He transformed my life with his work, & my confidence, he took all the problems away. I never stopped smiling. Love my teeth now. I have recently been back for a hygenist visit is the best one I've ever had. I took my husband this time for a consultation, I figured mine have lasted 18 years and are showing no decline, so I'd rather him go to Tim too. They have an offer on a free consultation, and £100 off your own bill, which they honoured with a smile. Lovely friendly reception staff. I highly recommend speaking to them, special thanks to Tim & Dawn & the team & our lovely hygenists. xread more
Tracey Telford
Tracey Telford
18:40 06 Aug 24
Had a total of 22 veneers, top and bottom, to replace my 22 year old ‘yellow’ top 6 veneers and make the bottom ones match. A lot of work, but Dr Tim is very patient in getting you the result you want. The before and after photos say it all…read more
S C
S C
13:31 09 Jul 24
Orthodontic treatment, whitening and bonding.My journey started a little over a year ago. At the age of 55 i had given up hope of ever having a smile to be proud of. On arriving i was greeted with friendly smiling faces from the lovely girls at reception, instantly putting me at ease, shown to a relaxing bright waiting room. Long story short, after the magical treatment from all the team Dr Sharma, Anna, Bonnie and Michelle i now have the most amazing smile. I can never thank you enough for what you have given me, after 15 years my partner now has a man who can smile at her and with her xGo on give yourself a smile!read more
Christopher Theobald
Christopher Theobald
19:41 08 Jul 24
A confidence inspiring visit with consummate professionalism from the whole team. Michelle Sayour’s assessment was extremely thorough and detailed supported by wonderful tech. A warm and engaging personality too! Highly recommended.read more
Ray Thornett
Ray Thornett
20:07 28 Jun 24
Wonderful clinic in A* league of its own - Mariana / sadia / Dawn / reception in general - cannot recommend highly enough. They are organised flexible empathetic top class and Mariana ... well Mariana ... do not miss out on her as a practitioner and all round human being she is STAND OUT ⭐️read more
Charlotte Black
Charlotte Black
08:44 28 Jun 24
Yes, heading to the dentist can sometimes cause anxiety, but you’ll be in the skilled hands of Dr. Tim Bradstock-Smith at The London Smile Clinic. He makes you feel at ease, explains what he’s doing, and works carefully and in a timely manner. The clinic is spotless and the staff is very welcoming. I highly recommend!read more
Teri Okita-Allen
Teri Okita-Allen
16:03 27 May 24
Thank you to everyone at the London Smile Clinic for making my journey an amazing one. From the moment i walked in the door, I felt I made the right decision in coming here. Throughout the whole process, I felt that I was in very good hands and trusted Dr Pratik and Dr Tim’s experience and artistic eyes. They were very transparent about the treatment including the fees. Special thanks to Dawn for coordinating everything and for always accommodating the appointments I needed. I am over the moon with my smile makeover and cannot recommend London Smile enough.read more
Tabitha S
Tabitha S
19:39 16 May 24
Amazing experience! I had four veneers added, which doesn't sound much but the difference to my smile is incredible - which is now perfect. (He said humbly :.) My dentist, Dr. Michelle Sayour - able assisted by ace nurse Sadia - was incredible. Not only is she very highly skilled, as you'd expect of the Clinic, but I was also impressed by how much effort she puts in behind the scenes - liaising with the Canadian manufacturers of the veneers, for example - to ensure that the fit, shape, colour and finish was just perfect. Michelle's people skills are excellent, she is enormously likable and the whole process was actually very enjoyable. Who'd have thought going to the dentist could be such fun?! Highly recommend.read more
Brian O'Sullivan
Brian O'Sullivan
09:31 05 Apr 24
I would like to thank my dentists Michelle Sayour for replacing my crowns. She did an excellent job, my new crowns looks great. Aside from being an excellent dentist she is pretty as well.read more
gerald balbaneda
gerald balbaneda
18:06 07 Mar 24
Been going here for years after they fixed a missing tooth&replaced old fillings. Appreciate they focus on enhancing the natural beauty of teeth rather than forcing a Hollywood smile (unless that is what you want I suppose). Ongoing maintenance has been sympathetically done and only as required. People remember your name and your mouth (or maybe their record keeping is just very good). Tried to switch to NHS and this was so not the case I felt too uneasy to let them potentially 'ruin' work done. (As I kept getting different dentists in the same practice on NHS- it also got a bit tiring having them examine my mouth with admiration as an example of how things should be done, and somehow what was previously recorded did not seem to be remembered. One hopes this should always be the case.)read more
Bronwen L
Bronwen L
10:58 03 Jan 24
I had extensive cosmetic dental work done at The London Smile Clinic in +-2010. The work is as perfect now as it was back then. I have always felt to be in reliable hands.Having moved out of London it's well worth the effort to come up to town for my annual dentist check up with Tim and regular hygienist visits with Bonnie; they keep my London Smile on track. A perfect service from reliable, friendly professionals. The best. The investment was totally worth it.= Thank you Tim, Bonnie and the entire The London Smile team :)read more
David Thomas
David Thomas
16:55 05 Dec 23
I am very pleased with the treatment I received from Dr . Tim Bradstock-Smith. My treatment was well managed and without any stress, anxiety or discomfort. I was initially concerned about the duration of my treatment but found it actually went very quickly and was certainly worth both the time and money invested. I feel so much more confident to talk to people now and smile with my full top of veneers! Everyone at The London Smile Clinic are so amazing especially the ladies at reception as they always make you feel so welcome and very special. I would always recommend to come here as they are all top quality in their profession.read more
Suzie Crowley
Suzie Crowley
13:04 23 Nov 23
I can’t believe it’s 23 years since Tim did my veneers. I must have been an early adopter! I’ve never had a single problem or regretted the investment for one moment. Living in Scotland it’s not always easy to have your dentist in London but it’s worth the effort. London Smile look after all my regular dental needs and Bonnie is an excellent hygienist. ….after one of her regular clean ups I feel like a new man!read more
Alan Smith
Alan Smith
16:31 20 Nov 23
Before treatment at London Smile Clinic I was exceptionally nervous and afraid of dental visits. No surprise then that my teeth were in terrible shape and I was in danger of losing them. I'd lost confidence in my former dentist and looked on Care Quality reviews for a new practice, and London Smile Clinic stood out as exceptional. The whole team at the Smile Clinic are wonderful, welcoming, calming and reassuring. I'm quite sure it's no exaggeration to say with the help of Dr Sharma, and Bonnie the magical hygienist, I've managed to save my teeth!! And I am no longer afraid of dentists. I can't recommend them enough. Gold stars to the whole team!!read more
Suza Johnston
Suza Johnston
12:32 08 Nov 23
Bonnie is an incredible dental hygienist. She's extremely gentle, and her attention to detail is second to none. Night and day from previous hygienists. Highly recommend!read more
Chris Russo
Chris Russo
15:37 26 Oct 23
I highly recommend the London Smile Clinic- all of the people that I saw were extremely professional, highly skilled and kind. I had a full set of veneers fitted to replace my very worn down yellow teeth with Dr Tim Bradstock-Smith. It has completely changed my life and given me so confidence. I get sooo many compliments and no one knows they’re veneers- everyone thinks I’ve just had my teeth whitened as they’re so natural. I’ve never smiled so much before and love having my picture taken now!read more
Sophie RW
Sophie RW
11:55 10 Oct 23
I love visiting Kristelle for my hygiene. She has a lovely way of putting me at ease. She does a great job. Tu Ahn also has a lovely manner which puts me at ease. I would definitely recommend the London Smile Clinic.read more
Jacqui V
Jacqui V
12:52 02 Sep 23
The London Smile Clinic is excellent. All the staff are friendly and very helpful. I attended the clinic to get gum contouring and a new crown. Dr.Tim Bradstock-Smith did a superb job. His attention to detail and skill are second to none. I'm so happy with the result and would recommend this clinic to anyone who wants to get dental work done. Thanksread more
MM C
MM C
19:57 25 Jul 23
I had a brilliant service from start to finish. All of the team were really helpful and made the process so much easier. The treatment was painless and Tim helped throughout by explaining everything really clearly. It has made a massive difference to my smile and confidence and I would highly recommend. Thank you London Smile Clinic!read more
Rob Farrell
Rob Farrell
11:26 31 May 23
I’ve had bad experiences with dentists in the past but this place was excellent in every way. The receptionist team is like no other, they truly make you feel welcome and a valued costumer. The dental nurses are also very talented and attentive. Dr. Tim listened to my needs and concerns and gave me a stunning smile I feel confident in! My gums were in poor condition when I first visited the clinic and they now look healthier than they have in a long time. Bonnie was also very patient with me and even showed me how to correctly care for my teeth and gums. So thankful to have found such a great clinic and over the moon with my new smile!read more
Bea Rm
Bea Rm
17:56 29 May 23
I had composite bonding done at The London Smile Clinic to fix a small problem which had been bothering me for months. They were excellent, very thorough and discussed all options with me. Michelle did the most amazing job, I'm so much more confident in my smile now and can't thank her enough! Looking forward to coming back in a few months to start my invisalign journey. I won't go anywhere else now for my teeth and would highly recommend to anyone considering some cosmetic work on their teeth!read more
Olivia Beach
Olivia Beach
12:35 15 May 23
Always 5 star.The entire staff are all impeccable.The clinical standards superb.I’ve been a patient for 20 years and the standard have remained constant.Makes going to the dentist a pleasure ( well almost). 😵‍💫read more
PAULINE W
PAULINE W
13:55 03 Feb 26
I truly cannot recommend the London Smile Clinic enough. Everyone I encountered yesterday was absolutely wonderful, so kind and so understanding. Especial thanks are due to the absolutely lovely Delesta, Dr Pratik Sharma's treatment coordinator, who went over and above. She was so warm and lovely, and she managed to organise for me to have a second appointment that very afternoon with Dr Tim Bradstock-Smith for which I was extremely grateful, as I had travelled all the way from the East Midlands. Both Dr Sharma and Dr Bradstock-Smith are exceptionally kind and understanding, and between them they were able to get to the bottom of a complex problem that my home dentist and orthodonist had not properly understood. I cannot tell you how relieved I am to have seen them. I have suffered a lot of dental trauma and I felt heard and cared for in a way that I have never experienced before. I will be pursuing further treatment with The London Smile Clinic and I would not have any hesitation in recommending them to other nervous patients or patients with challenging or unusual conditions. Thank you so much to everyone I saw yesterday. I'm truly grateful for the outstanding levels of care and consideration I received.read more
Sarah Davison
Sarah Davison
13:02 22 Jan 26
I have been coming here for almost 20 years because of the superstar that is Kristelle! She is an incredible hygienist. Thorough, skilled & knowledgeable - she is an amazing professional and so personable. I always look forward to my cleans and honestly never want it to end!read more
T L
T L
14:06 16 Dec 25
Still Exceptional After 25 YearsI had my veneers done at The London Smile Clinic nearly 25 years ago by Dr Tim Bradstock-Smith, and I’m now back having them replaced - with the same dentist! That alone speaks volumes about the level of trust and satisfaction I’ve had over the years.What continues to impress me abot LSC is their investment in cutting-edge technology. The diagnostics they use now provide such a detailed view of your dental health, allowing for a treatment plan that’s not just about looks, but about long-term wellbeing. It’s thoughtful, precise and truly patient-centred care.The professionalism and excellence of the entire team is just as strong as it was all those years ago. There’s a genuine culture of kindness - right down to my original Dental Care Manager, Dawn! Everyone is welcoming and clearly proud to be part of a clinic that sets the bar for dental care.If you’re looking for world-class dentistry backed by years of consistency, innovation, and trust, I can’t recommend The London Smile Clinic highly enough.read more
Maria Hellyer
Maria Hellyer
13:09 24 Oct 25
Always utter professionalism from the staff at the London Smile Clinic. I've just completed a "full mouth restoration" - placing high quality porcelain veneers and crowns over badly worn-down teeth. Dr Bradstock-Smith ensured that underlying general dental issues had been addressed before using his expertise to fashion a great set of natural-looking teeth for a new smile. Attend the London Smile Clinic and you won't want to visit another dental practice again!read more
Kieran Long
Kieran Long
20:58 23 Oct 25
View all Reviews

General Dentistry

A first-class dental service.

LEARN MORE

Cosmetic Dentistry

A passion for perfection.

LEARN MORE

Teeth Straightening

A better smile in the future.

LEARN MORE

Tooth Replacement

Shine confidently again.

LEARN MORE

Facial Aesthetics

Natural results guaranteed.

LEARN MORE
View all Treatments Book Online

General Dentistry

A first-class dental service.

LEARN MORE

Cosmetic Dentistry

A passion for perfection.

LEARN MORE

Teeth Straightening

A better smile in the future.

LEARN MORE

Tooth Replacement

Shine confidently again.

LEARN MORE

Facial Aesthetics

Natural results guaranteed.

LEARN MORE
View all Treatments Book Online

Your Free Guide

10 Secrets to a perfect smile

(Avoid all the costly, painful, and irreversible pitfalls).

instagram instagram @londonsmileclinic

VIEW ON INSTAGRAM

Subscribe to our latest news

4.8
Google-Widget